Wednesday, December 7, 2011
Obat Kumur Untuk Terbebas Dari Lubang Gigi
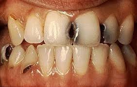
Masalah gigi berlubang atau yang dikenal dengan istilah karies gigi, merupakan salah satu masalah kesehatan yang dialami oleh hampir semua orang. Sampai saat ini, cara terbaik yang dianjurkan oleh dokter gigi untuk mencegah gigi berlubang adalah dengan rutin menyikat gigi dan flossing.
Namun, terkadang sangat sulit untuk menerapkan kebiasaan menyikat gigi dan flossing sebagai rutinitas sehari-hari. Untuk membantu mengatasi hal ini, dikembangkanlah sebuah obat kumur yang memang ditargetkan kepada bakteri utama penyebab gigi berlubang, yaitu bakteri Streptococcus mutans.
Sebuah obat kumur yang telah dikembangkan melalui penelitian selama hampir sepuluh tahun di UCLA School of Dentistry baru-baru ini diuji. Dalam uji klinis tersebut, 12 subjek yang berkumur dengan 1 kali kumuran obat kumur tersebut mengalami pengurangan S. mutans hampir secara keseluruhan selama 4 hari periode pengujian.
Hasil pengujian dalam skala kecil ini telah diterbitkan dalam edisi terbaru jurnal dental internasional, Caries Research. Dr. Wenyuan Shi, kepala bagian biologi oral dari UCLA School of Dentistry, yang merupakan pemimpin penelitian ini sebelumnya juga telah menemukan sugarfree lollipop yang dapat melawan kerusakan gigi.
Dr. Shi mengembangkan teknologi antimikroba baru ini yang disebut dengan STAMP (specifically targeted anti-microbial peptides) yang juga mendapat dukungan dari perusahaan Colgate-Palmolive dan C3-Jian Inc., perusahaan yang dia danai untuk mengelola hak paten dari temuan yang telah dikembangkannya. Untuk obat kumur ini, Dr. Shi menggunakan STAMP yang dikenal sebagai Sm. STAMP C16G2.
Sm. STAMP C16G2 bekerja seperti sebuah "smart bomb", yang hanya akan mengurangi bakteri jahatnya saja, dan efeknya akan tetap efektif untuk jangka waktu yang lebih lama. Penelitian yang lebih besar untuk mendapat persetujuan FDA rencananya akan dilakukan mulai bulan Maret 2012.
Jika penelitian besar ini sukses dan berhasil mendapat persetujuan FDA, maka Sm. STAMP C16G2 akan menjadi obat anti-dental caries yang pertama sejak fluoride mendapatkan lisensinya hampir 60 tahun yang lalu.
Subscribe to:
Post Comments (Atom)
No comments:
Post a Comment